آشنایی با قطعات و بخشهای مختلف سیستم براکت
آشنایی با قطعات و بخشهای مختلف سیستم براکت
آشنایی با اسامی بخشهای مختلف سیستم براکت و عملکرد آنها، به شما کمک میکند بتوانید همکاری بهتری با ارتودنتیست داشته و با رعایت دستورات او و مراقبت از براکت، درمان را هر چه سریع تر و هر چه بهتر به پایان رسانید.

بند فلزی
بند فلزی ( کمربند دندان) یک حلقه فلزی است که دور دندانهای عقبی قرار میگیرد. اندازه این حلقه را ارتودنتیست انتخاب میکند. معمولاً ضمایم فلزی سیستم براکت به بند فلزی دور دندانهای آسیاب جوش میخورد. یکی از مهمترین عملکرد کمربند دندان، ایجاد تکیه گاه یا لنگر گاه برای سیستم براکت است تا سیم ارتودنسی بتواند دندانهای جلویی را به عقب بکشد. کمربند دندان معمولاً از استیل ساخته میشود. کمربند دندان با چسب مخصوص دندانپزشکی به دندان چسبانده میشود.

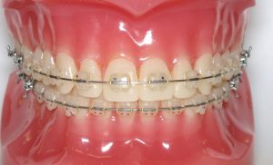
نگین براکت
متداولترین نوع نگین براکت، نگینهای مربعی شکل کوچک هستند که به سطح دندان یا گاهی اوقات به کمربند دندان چسبانده میشوند. نگین براکت معمولاً از فلز یا سرامیک ساخته میشود. هر نگین شیاری دارد که سیم ارتودنسی در داخل آن قرار گرفته و به کمک لیگاچور در جای خود ثابت میماند. برخی از نگینها در سیستم براکت ممکن است حاوی یک قلاب باشند که از آن برای اتصال حلقه کشی (الاستیک) استفاده میشود. نگین براکت به عنوان دستگیره برای دندان عمل میکند تا سیم بتواند دندان را گرفته و بکشد.

سیم ارتودنسی
سیم ارتودنسی یا آرچ وایر، یک سیم نازک فلزی است که به صورت منحنی ساخته میشود تا با قوس دندانی مطابقت داشته باشد. سیم از تک تک نگینهای براکت عبور میکند. وظیفه سیم ارتودنسی اعمال فشار به دندانها و کشیدن آنها به موقعیت مورد نظر است. بنابراین مهمترین بخش سیستم براکت سیم ارتودنسی است. در سیستم براکت سرامیکی، ممکن است از سیمهای سفید رنگ استفاده شود تا کمتر جلب توجه نماید. معمولا در طول دوره درمان، سیم ارتودنسی تعویض میشود و با پیشرفت درمان از سیم محکمتری برای جابجایی بیشتر استفاده میشود.

حلقه کشی
حلقه کشی در سیستم براکت دو نوع است: الاستیک که برای اعمال نیرو بین دو فک و اصلاح مشکلات بایت و ناهمراستایی فکها استفاده میشود (شکل بالا) و لیگاچور پلاستیکی که در ادامه توضیح داده میشود. الاستیک دور قلاب نگین براکتهای مورد نظر قرار میگیرد. معمولاً یکی از نگینها در فک بالا و نگین دیگر در فک پایین قرار دارد. گاهی اوقات نیز یک طرف الاستیک دور مینی ایمپلنت (پیچ ارتودنسی) قرار میگیرد تا دندان را در جهت متفاوت از اعمال نیروی عمومی سیستم براکت بکشد. الاستیک در فواصل منظم باید تعویض شود.

لیگاچور
لیگاچور حلقه کشی کوچک یا سیم فلزی است که در نگین براکت قرار گرفته و وظیفه آن نگه داشتن سیم ارتودنسی در نگین است. لیگاچور پلاستیکی ممکن است شفاف یا رنگی باشد. انواع رنگی آن بیشتر در کودکان استفاده میشود. هر بار که برای تنظیم سیستم براکت به ارتودنتیست مراجعه نمایید، لیگاچور تعویض میشود.

فنر مارپیچی
فنر مارپیچی گاهی اوقات بین دو نگین براکت قرار میگیرد تا بین دو دندان فاصله ایجاد نماید. در شرایطی از فنر مارپیچی استفاده میشود که دندانها بیش از حد به هم نزدیک هستند. فنر مارپیچی بر روی سیم ارتودنسی تعبیه میشود و باعث ایجاد کشش بین دو دندان میشود.

زنجیر یا پاوِر چِین
زنجیر یا پاوِر چِین در واقع زنجیره ای از حلقه های کشی یا سیمی است که دندانها را به یکدیگر مرتبط میکند. از این زنجیر برای جلوگیری از ایجاد فاصله بین دندانها یا بستن فاصله بین آنها استفاده میشود.
زنجیر ارتودنسی همانند لیگاچور پلاستیکی دور نگین براکت قرار گرفته و در هر جلسه که برای تنظیم مجدد براکت مراجعه میکنید، تعویض میشود.
منبع :
http://www.drriceortho.com/treatments/parts-of-braces
