نهفتگی دندان چیست ؟
نهفتگی دندان نیش در زیر لثه

نهفتگی دندان به وضعیت گفته میشود که در آن دندان نمیتواند از لثه بیرون بزند. در صورتی که دندان به صورت ناقص از لثه بیرون بزند به آن نیمه نهفته گفته میشود.
در اکثر موارد، نهفتگی یا نیمه نهفتگی دندان مربوط به دندانهای عقل (مولر سوم) میباشد که عقبی ترین دندانها در دهان هستند. این دندانها در پشت فک گیر کرده و ممکن است دچار عفونت دردناک شوند. از آنجایی که معمولاً از نظر عملکردی نیازی به دندانهای عقل وجود ندارد، در صورتی که مشکلی ایجاد نماید یا احتمال بروز مشکل در آینده وجود داشته باشد دندان کشیده میشود.
نهفتگی دندان نیش
اما پس از دندان عقل، دندان نیش فک بالا بیشترین میزان نهفتگی را به خود اختصاص میدهد. دندان نیش یک دندان مهم در قوس دندانی به شمار میآید و نقش مهمی در بایت بر عهده دارد. دندانهای نیش دندانهای بسیار محکمی هستند و ریشه های بسیار بلندی در فک دارند (بلندترین ریشه در بین دندانها). دندانهای نیش به صورتی طراحی شده اند که در هنگام بستن فک اولین دندانهای هستند که با یکدیگر تماس پیدا میکنند و بقیه دندانها را به موقعیت درست بایت هدایت مینمایند.
شکل- وضعیت طبیعی دندان نیش در شکل بالا نشان داده شده است.
در حالت نرمال دندانهای نیش فک بالا (ماگزیلاری) آخرین دندانهای ناحیه جلوی دهان هستند که از لثه بیرون میزند (شکل بالا). این دندانها معمولاً در سن سیزده سالگی کاملا بیرون زده و فضای باقی مانده بین دندانهای جلویی فک بالا را میبندند.
شکل- نیمه نهفته شدن دندان نیش فک بالا (ماگزیلاری)
در صورتی که دندان نیش نهفته یا نیمه نهفته باشد (شکل بالا)، برخلاف دندانهای عقل کشیده نمیشود بلکه برای بیرون زدن آن در موقعیت مناسب در قوس دندانی تلاش میشود.
تکنیکهای مورد استفاده برای کمک به بیرون زدن دندان نهفته در مورد هر دندان نهفته دیگری در قوس دندانی بالا یا پایین قابل انجام هستند اما در بیشتر موارد برای دندان نیش فک بالا استفاده میشوند. ۶۰% از دندانهای نیش نهفته در سمت کام قوس دندان (به سمت سقف دهان) قرار دارند. بقیه دندانهای نیش نهفته در میانه استخوان پشتیبانی کننده قرار دارد و در بالای ریشه دندانهای مجاور یا در سمت فیشیال (چهره ای) قوس دندانی گیر کرده اند (شکل بالا).
شناسایی زود هنگام نهفتگی دندان نیش
هر چه سن بیمار بیشتر باشد احتمال این که بیرون نزدن دندان نیش مربوط به نهفتگی باشد و توسط نیروهای طبیعی بیرون نزند بیشتر است، حتی اگر فضای کافی در قوس دندانی وجود داشته باشد. انجمن ارتودنتیست های آمریکا توصیه میکند در سن هفت سالگی همراه با معاینه دهان، غربالگری پرتوی ایکس نیز انجام شود تا وضعیت دندانها مشخص شده و هر گونه مشکلی اعم از نهفتگی دندان زودتر شناسایی شود. پی بردن به اینکه آیا تمام دندانهای دائمی در فک وجود دارند یا برخی از دندانها به صورت مادرزادی وجود ندارند اهمیت زیادی دارد. همچنین وجود دندان اضافی، زائده غیر معمول که ممکن است بیرون زدن دندان را با مشکل مواجه سازد و شلوغی و به هم ریختگی دندانها به علت کمبود فضا در عکس پرتوی ایکس شناسایی میشود.
درمان دندان نیش نهفته
درمان این مشکلات ممکن است مستلزم درمان ارتودنسی و براکت باشد تا فضای لازم برای بیرون زدن تنها فراهم شود. گاهی نیز ممکن است نیاز به جراحی وجود داشته باشد تا دندان شیری که به صورت طبیعی نیفتاده است، و یا دندان دائمی که مسیر بیرون زدن دندان نیش را مسدود کرده است کشیده شود. همچنین ممکن است لازم باشد برای کشیدن دندان اضافی یا زایده هایی که مسیر بیرون زدن دندان نیش دائمی را بسته اند، جراحی انجام شود. در صورتی که مسیر بیرون زدن دندان نیش کاملاً باز باشد و فضای لازم برای بیرون زدن آن در سن ۱۱ تا ۱۲ سالگی وجود داشته باشد، احتمال بسیار زیادی وجود دارد که دندان نیش به صورت طبیعی بیرون بزند. در صورتی که دندان نیش تا ۱۳ یا ۱۴ سالگی بیرون نزد، احتمالاً حتی با وجود فضای کافی و باز بودن مسیر بدون کمک دندانپزشک بیرون نمیزند. در صورتی که بیمار بالای ۴۰ سال سن داشته باشد، احتمال این که دندان در جای خود به استخوان جوش خورده باشد، زیاد است. در این موارد دندان علیرغم تمام تلاش ارتودنتیست و جراح از جای خود تکان نمیخورد. متاسفانه ممکن است در این مرحله تنها گزینه ممکن، کشیدن دندان نهفته و پر کردن جای خالی آن با یکی از روشهای جایگزینی دندان از دست رفته باشد.
در صورتی که دندان نیش با وجود فضای کافی بیرون نزند چه اتفاقی میافتد؟
در مواردی که دندان نیش خود بیرون نمیزند، ارتودنتیست و جراح دهان برای بیرون زدن آن اقدام کنند. روش درمانی برای هر کسی متفاوت است و بستگی به شرایط او دارد اما معمولاً شامل همکاری ارتودنتیست و جراح دهان است.
معمولاً ابتدا براکت گذاشته میشود (حداقل برای فک بالا) تا فضای لازم در قوس دندانی ایجاد شود. در صورتی که دندان نیش شیری هنوز نیفتاده است، موقتاً در جای خود حفظ میشود تا زمانی که فضای کافی برای بیرون زدن دندان نیش دائمی آماده باشد. در این زمان جراح دهان دندان نیش نهفته را نمایان میکند و ارتودنتیست با کمک براکت آن را به سمت بیرون میراند.
جراحی بیرون کشیدن دندان نهفته
این عمل جراحی بسیار ساده بوده و در کلینیک دندانپزشکی انجام میشود. در این عمل، بافت لثه روی دندان نهفته باز میشود تا دندان نمایان شود. در صورتی که دندان نیش شیری هنوز وجود نیفتاده باشد، در این زمان کشیده میشود. پس از این که دندان نهفته نمایان شد، براکت ارتودنسی به آن متصل میشود.

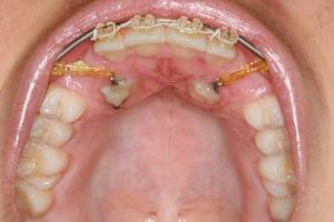
شکل- اتصال زنجیر طلایی به دندان نیش نهفته و وصل کردن زنجیر به سیم ارتودنسی براکت برای بیرون کشیده دندان نهفته صورت میگیرد.
به نگین براکت چسبانده شده به دندان نیش نهفته، یک زنجیر مینیاتوری متصل شده است. زنجیر طلایی به سیم ارتودنسی (آرچ وایر) وصل میشود. گاهی اوقات ممکن است دندان نهفته که روی آن باز شده است، به کمک بخیه کردن لثه به سقف دهان و ایجاد پنجره، کاملا نمایان بماند. اما در بیشتر مواقع بافت لثه به جایگاه قبلی خود بازگردانده شده و بخیه میشود و تنها زنجیر چسبانده شده به دندان نیمه نهفته قابل مشاهده باقی میماند و از سوراخ کوچکی در لثه بیرون میزند.
مدت کوتاهی پس از جراحی (یک تا ۱۴ روز) بیمار به ارتودنتیست مراجعه میکند. یک حلقه کشی به زنجیر متصل شده به دندان نیش وصل میشود تا دندان را به سمت خارج از لثه هدایت کند. در اینجاست که فرآیند حرکت دادن دندان به موقعیت مطلوب خود در قوس دندانی آغاز میگردد. این کار باید به دقت تحت کنترل قرار داشته باشد. این فرایند طولانی و تدریجی بوده و ممکن است یک سال طول بکشد. توجه داشته باشید هدف از درمان، بیرون زدن دندان نهفته در جایگاه درست است نه کشیدن آن. به محض که دندان به موقعیت نهایی رسید، بافت لثه اطراف آن برش خورده و بالا زده میشود تا دندانپزشک از سالم و محکم بودن آن و توانایی عملکرد مادام العمر جویدن، اطمینان حاصل نماید. در برخی شرایط به خصوص در مواردی که دندان باید مسافت طولانی را طی کند تا به موقعیت مطلوب برسد، ممکن است جراحی کوچکی در لثه انجام شود تا بر حجم بافت لثه در موقعیت جدید دندان افزوده شود تا از عملکرد نرمال آن اطمینان حاصل شود.
اصول گفته شده در مورد تمام دندانهای نهفته یا نیمه نهفته قابل انجام است. با این حال در موارد غیر از دندان نیش فک بالا، متداول نیست. از آنجایی که دندانهای جلویی، نیش و آسیاب کوچک، اندازه کوچکی داشته و تنها یک ریشه دارند، حتی در صورتی که نهفته شده باشند بیرون زدن آنها آسانتر از دندانهای آسیاب بزرگ عقب دهان است. دندانهای آسیاب بزرگ بسیار بزرگتر هستند و چندین ریشه دارند به همین علت در صورتی که نهفته باشد، بیرون کشیدن و هدایت آنها به سمت موقعیت مطلوب دشوار است. از طرفی قابلیت مانور در عقب دهان کمتر بوده و هر گونه کار بر روی دندانهای عقبی دشوارتر است.
پژوهشهای اخیر نشان داده اند که شناسایی زود هنگام نهفتگی دندانهای نیش یا هر دندان دیگری به جز دندانهای عقل، باید از سنین پایین آغاز شود. همان طور که گفته شد اولین اقدامات شامل برطرف کردن موانعی است که بر سر راه بیرون زدن دندان نهفته قرار دارند.
منبع : http://www.oralfacialsurgeon.com/procedures/impacted-canines/
